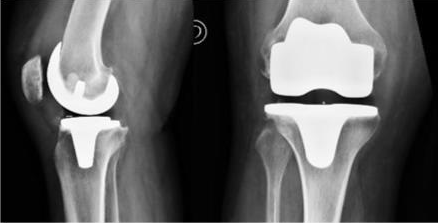
Prótesis de Rodilla
En la medicina actual colocar prótesis de rodilla, es una cirugía que se encuentra muy desarrollada y que se realiza muy frecuente como la artroplastia total de la cadera. Sin embargo, debe ser realizada por un cirujano de rodilla entrenado, dado que el abordaje de la rodilla es más complejo que el de la cadera por tratarse de una articulación con estabilidad extrínseca (asegurada por ligamentos y controlada por músculos).
La artrosis de rodilla (gonartrosis) y otros problemas de las articulaciones conllevan una desaparición progresiva del cartílago que produce dolores y dificultades en la vida cotidiana.
Existen actualmente tres tipos de prótesis de rodilla que permiten remplazar y repavimentar las superficies articulares de los compartimentos desgastados o destruidos:
- La prótesis total que concierne a los tres compartimentos de la rodilla: fémoro-tibial interno, externo y fémoro-patelar.
- La prótesis uni-compartiemental para el compartimento interno o externo.
- La prótesis fémoro-patelar.
En Biziondo, contamos con especialistas en rodilla que cuentan con una amplia experiencia en el tratamiento de problemas de rodilla. Si deseas más información puedes ponerte en contacto con nosotros desde el siguiente botón.
Prótesis total de rodilla
La causa más frecuente de dolores de rodilla en los mayores es la artrosis de rodilla.
La prótesis total de rodilla está indicada cuando los tratamientos de fisioterapia y los tratamientos médicos y quirúrgicos conservadores resultan
ineficaces.
Esta intervención suprime los dolores relacionados con el desgaste, devuelve una movilidad satisfactoria a la rodilla y una calidad de vida confortable. Los resultados son generalmente muy satisfactorios en los pacientes de 70 años o más. En los pacientes más jóvenes y con una vida más activa (que solicitan durante más tiempo y más intensamente los implantes) se prefieren las intervenciones de cirugía conservadora como la osteotomía.
El objetivo de la intervención es suprimir los dolores y restaurar una buena alineación y un buen funcionamiento de la rodilla.
La intervención se realiza bajo anestesia loco-regional o general, la elección se realizará en la consulta de anestesia.
Prótesis total de rodilla por vía mini-invasiva
La prótesis de rodilla es el tratamiento por excelencia de la artrosis de rodilla mal tolerada.
A lo largo de los años se han desarrollado técnicas mini-invasivas, que disminuyen el traumatismo tisular y mejoran los resultados funcionales.
El abordaje mini-invasivo implica una incisión más pequeña que las incisiones habituales. Evita cortar el músculo y el tendón del cuádriceps para acceder a la articulación.
El pequeño tamaño de la incisión y la escasa agresión de partes blandas tienen por resultado una cicatrización y una recuperación más rápidas.
Las ventajas de una cirugía mini-invasiva son:
- Disección quirúrgica mínima
- Recuperación en menos tiempo
- Corta hospitalización
- Disminución de los dolores postoperatorios
La prótesis total de rodilla por vía mini-invasiva no está indicada en todos los pacientes. Su cirujano decidirá si usted es un candidato potencial para esta técnica.
Prótesis uni-compartimental
Se trata de una cirugía en la que sólo se remplaza el compartimento dañado de la rodilla por un implante.
La rodilla puede dividirse en tres compartimentos: fémoro -patelar, fémoro-tibial interno (medial), fémoro-tibial externo (lateral). La prótesis uni-compartimental es una opción si la artrosis afecta solamente a un compartimento de su rodilla.
INDICACIONES:
• Artrosis localizada en un solo compartimento de la rodilla
• Integridad ligamentaria: ligamentos cruzados y ligamentos laterales presentes y funcionales
• Ausencia de sobrepeso mayor
• Deformación en el plano frontal de menos de 5º tras corrección del desgaste fémoro-tibial
• Ausencia de condrocalcinosis articular
• Ausencia de enfermedad inflamatoria como la poliartritis reumatoide
• Edad > 50 años (a valorar caso por caso)
CONTRAINDICACIONES:
• Sobrepeso
• Rotura antigua del ligamento cruzado (reparada o no)
• Deformación en varo o valgo muy importante

Dr. Cedric Bouquet
Especialista en Rodilla
El Dr. Cedric Bouquet es un traumatólogo especialista en rodilla, ha realizado mas de 1000 intervenciones de prótesis total de rodilla, por lo cual su amplia experiencia en este tipo de intervenciones, ofrecen una confianza a la hora de su tratamiento y recuperación.
Esta información es realizada por personal sanitario especializado con fines de divulgación y no sustituye consejo médico.
Si desea concertar una cita con nuestro traumatólogo especialista de rodilla en Bilbao puede ponerse en contacto al teléfono 946 941 347 o desde el siguiente formulario



