Knee Prosthesis
En la medicina actual colocar prótesis de rodilla, es una cirugía que se encuentra muy desarrollada y que se realiza muy frecuente como la artroplastia total de la cadera. Sin embargo, debe ser realizada por un cirujano de rodilla entrenado, dado que el abordaje de la rodilla es más complejo que el de la cadera por tratarse de una articulación con estabilidad extrínseca (asegurada por ligamentos y controlada por músculos).
Knee osteoarthritis (gonarthrosis) and other joint problems lead to a progressive loss of cartilage, which causes pain and difficulties in daily life.
There are currently three types of knee prostheses that allow replacement and resurfacing of the articular surfaces of worn or destroyed compartments:
- Total prosthesis that concerns the three compartments of the knee: internal femoro-tibial, external and femoro-patellar.
- The uni-compartmental prosthesis for the internal or external compartment.
- The femoro-patellar prosthesis.
At Biziondo, we have knee specialists with extensive experience treating knee problems. If you'd like more information, please contact us using the button below.
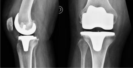
Total knee replacement
La causa más frecuente de dolores de rodilla en los mayores es la artrosis de rodilla.
Total knee replacement is indicated when physiotherapy, conservative medical, and surgical treatments are ineffective.
This procedure eliminates pain associated with wear and tear, restores satisfactory knee mobility, and a comfortable quality of life. The results are generally very satisfactory in patients 70 years of age or older. For younger patients with more active lives (who require implants for longer and more intensively), conservative surgical interventions such as osteotomy are preferred.
El objetivo de la intervención es suprimir los dolores y restaurar una buena alineación y un buen funcionamiento de la rodilla.
The intervention is performed under local-regional or general anesthesia; the choice will be made in the anesthesia consultation.
Minimally invasive total knee replacement
La prótesis de rodilla es el tratamiento por excelencia de la artrosis de rodilla mal tolerada.
A lo largo de los años se han desarrollado técnicas mini-invasivas, que disminuyen el traumatismo tisular y mejoran los resultados funcionales.
The minimally invasive approach involves a smaller incision than standard incisions. It avoids cutting the quadriceps muscle and tendon to access the joint.
The small incision size and minimal soft tissue damage result in faster healing and recovery.
The advantages of minimally invasive surgery are:
- Minimal surgical dissection
- Recovery in less time
- Corta hospitalización
- Reduction of postoperative pain
Minimally invasive total knee replacement is not indicated for all patients. Your surgeon will decide if you are a potential candidate for this procedure.
Uni-compartmental prosthesis
This is a surgery in which only the damaged compartment of the knee is replaced with an implant.
The knee can be divided into three compartments: femoro-patellar, medial femoro-tibial, and lateral femoro-tibial. A unicompartmental knee replacement is an option if osteoarthritis affects only one compartment of your knee.
INDICACIONES:
• Artrosis localizada en un solo compartimento de la rodilla
• Ausencia de condrocalcinosis articular
• Ausencia de enfermedad inflamatoria como la poliartritis reumatoide
CONTRAINDICATIONS:

Dr. Cedric Bouquet
Knee Specialist
El Dr. Cedric Bouquet es un traumatólogo especialista en rodilla, ha realizado mas de 1000 intervenciones de prótesis total de rodilla, por lo cual su amplia experiencia en este tipo de intervenciones, ofrecen una confianza a la hora de su tratamiento y recuperación.
This information is provided by specialized healthcare personnel for informational purposes only and does not replace medical advice.
If you would like to make an appointment with our knee specialist traumatologist in Bilbao, you can contact us by phone at 946 941 347 or by using the following form.



